当前位置:首页 > 首山医生 > 执业医师技能考试秘籍 > 详细内容
人体CT缩写注释
发布时间:2013/4/16  阅读次数:663  字体大小: 【】 【】【
人体CT缩写注释
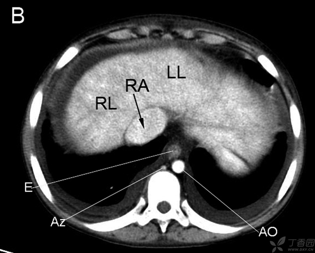
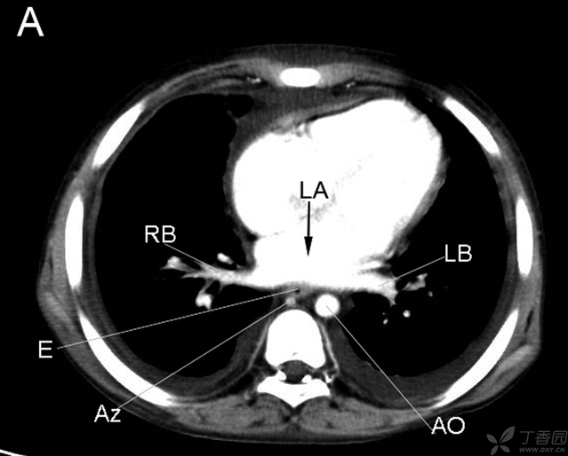
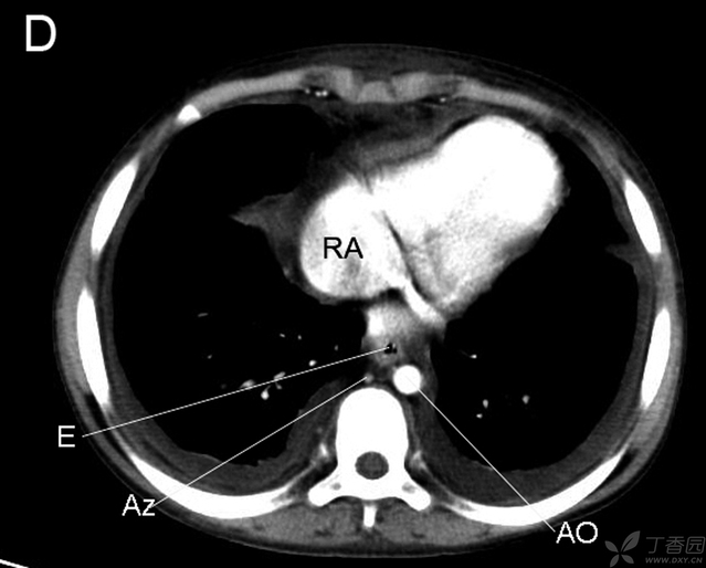
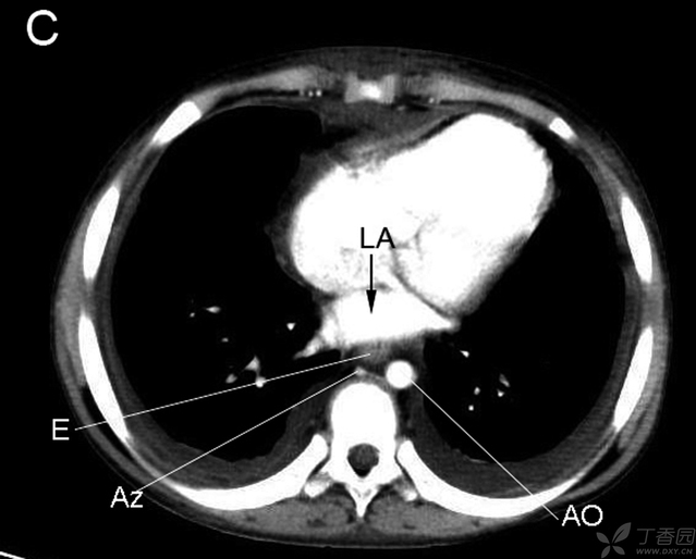
RB右支气管 LA左房 LB左支气管 E食管 AZ奇静脉 AO主动脉
LL左肝 RA右房 RL右肝  
IVC下腔静脉  
CL肝尾状叶 EGJ食管胃链接部 SP脾  
G胃
LPV左门静脉 RPV右门静脉 PV门静脉 LK左肾 RK右肾 LGA左胃动脉
PHA肝固有动脉 HA肝动脉  
GB胆囊 DU十二指肠 PN胰颈 PH胰头 PB胰体 PT胰尾 CA腹腔干 SA脾动脉
CON汇合部 SV脾静脉
SMA肠系膜上动脉 SMV肠系膜上静脉
PL幽门  
LRV左肾静脉 D1十二指肠球部 D2降部 D3水平部 D4 升部 C空肠  
LRV左肾静脉 RRV右肾静脉
AAr主动脉弓
Lung肺 v脊柱 Tr气管 LPB左主支气管 RPB右主支气管
SVC上腔静脉 AAO升主动脉 AAr 主动脉弓 DAO降主动脉
PA肺动脉 LPA左肺动脉
SCS气管隆突下间隙 LPB左肺动脉 RPA右肺动脉
RA右房 RV右室 LA左房 LV左室
RHV肝右静脉 MHV肝中静脉 LHV肝左静脉
CBD胆总管 LSCA左锁骨下动脉 RSCA右锁骨下动脉
APW 主肺动脉窗 LCCA左颈总动脉 BCA头臂干

上一篇:没有了! 下一篇:实践技能——心电图 [精华]
我要评论
  • 匿名发表
  • [添加到收藏夹]
  • 发表评论:(匿名发表无需登录,已登录用户可直接发表。) 登录状态:未登录
最新评论
所有评论[0]
    暂无已审核评论!
任何透过首山创业网的网页而链接及得到之资讯、产品及服务均系用户自行发布,首山创业网对其合法性概不负责,亦不承担任何法律责任。
古典文学

本站由中网提供网站空间与技术支持,马上申请与我一样的网站

 收录查询                                                      网站管理 辽ICP备10006314号